علایم، پیشگیری و درمان کیست دندان



کیست دندانی چیست و چگونه درمان می شود

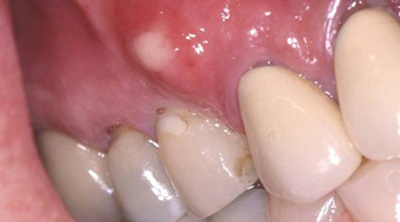
کیست بافت نرم توده‌ای کوچک و بدون درد بوده که قطر آن عمدتا کمتر از یک اینچ است

  

کیست دندان

کیست دهان به برآمدگی های ایجاد شده اطراف و درون دهان گفته می شوند. در حقیقت کیست، کیسه ای بافتی حاوی مایع یا موادی دیگر است که ممکن است روی لب، گونه، لثه و فک ایجاد شود. به کیست نزدیک دندان کیست دندان نیز گفته می شود.

 

کیست های دندان یکی از مواردی است که بسیاری از افراد بابت آن نگران هستند زیاد در مورد آن از دندان پزشک سوال می کنند. جای تاسف دارد که درباره کیست دندان صحبت های زیاد و اشتباهی در بین مردم وجود دارد. حتی برخی از دندان پزشکان نیز با به کارگیری اشتباه واژه کیست در توضیح به بیماران، به این اشتباه دامن می زنند.

 

دندان پزشکان اغلب برای مواردی که در رادیوگرافی ها ( عکس های فک و دندان) مشاهده می کنند، اصطلاح "ضایعه" را به کار می برند. در حقیقت کیست یک اصطلاح پاتولوژیک است؛ در واقع تشخیص کیست بر اساس شواهد میکروسکوپی مسجل خواهد شد. بنابراین در اغلب موارد به کار بردن واژه کیست تا زمانی که جواب پاتالوژیست آماده نشده یعنی پس از اتمام جراحی و فرستادن نتیجه به پاتولوژیست، تعریف درستی نیست؛ البته در برخی موارد با توجه به تکنولوژی های نو و نه چندان معمول مثل: رادیوگرافی CBCT یا سونوگرافی مکان دقیق کیست های نواحی فک، صورت و دندان را پیش از خروج، تعیین می کنند.

 

علائم و نشانه های کیست دندان

کیست دهان به برآمدگی های ایجاد شده اطراف و درون دهان گفته می شوند

  

علائم "کیست دندان":

کیست بافت نرم توده‌ای کوچک و بدون درد بوده که قطر آن عمدتا کمتر از یک اینچ است. کیست زیر پوست داخل لب پایین، درون گونه‌ها یا لثه‌ها ایجاد می‌شود. کیست معمولاً بدون درد است، مگر آن که عفونی باشد. کیست کوچک ادنتوژنیک داخل فک بدون درد است. اگر کیست ادنتوژنیک بزرگ و عفونی شود، دردناک نیز خواهد شد. کیست باعث برجسته شدن استخوان فک، لق شدن و حرکت دندان نیز خواهد شد.

 

مشاوره و تشخیص کیست دندان :

مشاوره قسمت مهمی از درمان و فرصتی مناسب برای معاینه و بررسی عارضه‌های موجود است. دندانپزشک بعد از معاینه و رادیوگرافی تشخیص صحیحی خواهد داشت. در مواردی که کیست بزرگ یا نزدیک ساختارها باشد، باید سی تی اسکن انجام شود تا تصویری سه بعدی به دست آید و بتوان از آن برای جراحی استفاده کرد. دندانپزشک مراحل جراحی و نتایج مورد انتظار را به بیمار توضیح می‌دهد.

 

پیشگیری از "کیست دندان ":

راه حتمی جلوگیری از آبسه دندان رعایت بهداشت دهان و دندان می باشد؛ بیمار به این منظور باید مسواک زدن و نخ دندان کشیدن را جدی بگیرد، تغذیه خود را بهتر کرده و میوه‌ها و سبزیجات بیشتری را در برنامه غذایی خود قرار دهد.

 

 دلیل ایجاد کیست دندانی

راه جلوگیری از آبسه دندان رعایت بهداشت دهان و دندان می باشد

  

کیست ریشه دندان چگونه ایجاد می شود؟

بیشتر اوقات، کیست انتهای ریشه دندان به دلیل عفونت. ریشه دندان ایجاد می شود. عفونت ریشه دندان هم به علت پوسیدگی دندان که به عصب رسیده و درمان نشده ایجاد می شود. البته عفونت ریشه دندان، می تواند در اثر درمان ناقص ریشه دندان یا عصب کشی ناقص قبلی نیز به وجود آید. عفونت ریشه دندان موضعی بوده و در سیستم سلامت عمومی بدن مشکلی ایجاد نخواهد کرد. ولی موجب تحلیل استخوان شده و شانس حفظ دندان را کاهش می دهد. همچنین انجام درمان جایگزین مانند: ایمپلنت را سخت تر می کند.

 

بنابراین به کار بردن واژه ضایعه درست است نه کیست. کیست در حقیقت یک حفره تو خالی و کیسه مانند یا دارای مایع (مواد نیمه جامد ) همراه با دیواره یا غشایی متمایز با بافت مجاور خود است.

 

چند نوع کیست وجود دارد؟

کیست های ناحیه فک به دو نوع کیست با منشا التهابی و کیست با منشا تکاملی تقسیم بندی می شوند. کیست های منشا التهابی به دلایلی همچون: پوسیدگی، ضربه دیدن دندان ها یا عفونت دندان های ترمیم شده ممکن است به وجود بیایند. از جمله شایع ترین این کیست ها می توان به: کیست رادیکولار یا پری آپیکال ( کیستی که به ریشه دندان مربوط است) اشاره کرد.

 

کیست ها را نمی توان به سادگی طبقه بندی کرد؛ زیرا فرآیندی بسیار پیچیده و طولانی است. در ادامه به معرفی برخی از آن ها می پردازیم: 

 

کیست پریفرال یا کیست لثه:

این نوع کیست غالبا روی لثه ایجاد می‌شود و بر ساختار استخوانی دندان تاثیر مستقیم نمی گذارد. 

 

کیست پریودنتال:

این کیست زمانی به وجود می آید که پلاک به لثه آسیب رسانده و باعث ساییدگی دندان شود. بعد از آن پاکت‌های لثه یا فاصله‌های بین لثه‌ها و دندان‌ها به وجود می آید که به محل تشکیل آبسه تبدیل می‌شود.

 

کیست پری اپیکال:

این کیست نتیجه عفونت پالپ یک دندان می باشد که به جز کشیدن دندان درمان دیگری برای آن وجود ندارد.

 

کیست دنتی ژروس:

 اطراف دندان‌های نهفته مثل دندان عقل ایجاد می‌شود.

 

کیست ادنتوژنیک یا پریموردیال: 

این کیست از سلول‌های باقیمانده به جا مانده از جوانه‌های دندان در حال رشد به وجود می آید.

 

کیست رادیکولار:

این نوع کیست با عفونت نوک ریشه‌های دندان همراه می باشد.

 

کراتوسیست:

نوع خاصی از کیست است که عموماً پس از درمان به وجود می آید و به عنوان "تومور ادنتوژنیک کراتوسیست" طبقه‌بندی می‌شود.

 

آملوبلاستوم تک کیستی: 

توموری ادنتوژنیک دارای تهاجم موضعی است.

 

آیا کیست و عفونت یکی هستند؟

خیر! کیست همان عفونت نیست. کیست ها ممکن است عفونی باشند که در این صورت می توانند دردناک هم باشند. آبسه های عفونی اغلب همراه با تورم هستند. فیستول های چرکی که ترشحات چرکی از آن ها بیرون می آید کیست نیستند. لازم به ذکر است که عفونت ممکن است به وسیله مکانیسمی دسته ای از سلول ها را تحریک کرده و باعث ایجاد کیست شود ولی این دو کاملا با هم تفاوت دارند.

 

وقتی، زمانی از پوسیدگی یا ضربه ای که منجر به مرگ پالپ (محتویات کانال های عصبی) شده است بگذرد، ممکن است در ریشه آن یک ضایعه به وجود بیاید.

اکثر اوقات این ضایعه که فقط در رادیوگرافی های دندان دیده می شود، یک گرانولوم می باشد ( نه کیست یا آبسه). گرانولوم توانایی تبدیل شدن به کیست یا آبسه در آینده را دارد. البته درناک نیست ولی ممکن است در اثر ضربه به دندان کمی درد داشته باشد یا حسی متفاوت را تجربه کنید.

 

تفاوت آبسه و کیست در چیست؟

آبسه حالتی التهابی کلینیکی می باشد که یک دندان پزشک با معاینه بیمار قادر است آن را تشخیص دهد. بیشتر اوقات آبسه ممکن است در عکس رادیوگرافی مشاهده نشود.

 

آبسه ممکن است به دو صورت ایجاد شود: 

1. خود به تنهایی یا بعد از مرگ پالپ (عصب) دندان و عفونی شدن کانال های دندان 

2. پس از پدید آمدن یک کیست یا گرانولوم.

در واقع هنگامی که با ضایعه ای برخورد می کنیم واقعا خبر نداریم آیا این ضایعه کیست است یا خیر! خوشبختانه کیست ها بین مردم شایع نیستند؛ پس اول باید به سراغ منشا (دندان) برویم.

 

برای یک دندان پزشک که هنوز در مرحله درمان است هیچ تفاوتی ندارد که عکس رادیوگرافی کیست است یا گرانولوم. زیرا در اکثر موارد درمان کردن ریشه مشکل را کاملا برطرف می کند.

پس از درمان منشا که ممکن است یک دندان پوسیده، ضربه دیده یا پر شده باشد، معمولا صبر می کنیم تا ضایعه کوچک شود. راه های درمان دندان عبارتند از درمان ریشه (عصب کشی) و کشیدن دندان.

  

تفاوت آبسه و کیست دندان

کیست ها ممکن است عفونی باشند که در این صورت می توانند دردناک هم باشند

   

ممکن است لازم باشد چند ماه پس از درمان، بیمار به دندان پزشک خود مراجعه کرده تا نتیجه درمان مورد بررسی قرار بگیرید. حین بررسی روند درمان ممکن است نیاز به خارج شدن ضایعه (که البته کیست هم نیست ) باشد. در این صورت لازم است برای درمان جراحی نیز انجام شود یا ممکن است روند درمان عادی بوده و نیازی به کار اضافه ای نداشته باشد.

احتمال اینکه ضایعات بزرگ کیست باشند خیلی بالاست؛ چرا که درمان ریشه ممکن است مشکل را برطرف نکند. همچنین ممکن است دندان پزشکان براساس سن و شرایط بیمار ضایعه را با جراحی خارج کرده و برای مشخص کردن ماهیت آن، به آزمایشگاه پاتولوژی ارسال کنند.

 

تخلیه کیست لثه یا کیست پریفرال :

دندانپزشک چرک را تخلیه کرده تا درد و فشار ناشی از کیست لثه یا کیست پریفرال کم شود. از آنجا که پس از کشیدن دندان بین لثه و دندان کشیده شده فضای خالی باقی خواهد ‌ماند، لازم است بیمار یک دوره آنتی بیوتیک استفاده کند تا عفونت بدتر نشود.

 

دندانپزشک پس از برداشتن آبسه فضای خالی آن را تمیز کرده تا ذرات باقی‌مانده از دندان پوسیده یا هر گونه آلودگی پاک شود. سپس دندان را تراش داده تا سطوح آن صاف شود. به علاوه لثه را تحریک کرده تا دوباره اطراف ریشه‌های دندان رشد کند و فاصله‌های محل تجمع پلاک را ببندد.

 

اما آنقدر که بیماران از کیست های دندان می ترسند این کیست ها خطرناک نیستند. آن ها اغلب دردناک نیستند و سرعت رشد پایینی دارند. همچنین روی بافت های اطراف خود تاثیری زیادی ندارند؛ اما به دلیل اینکه این کیست ها از یک لایه اپیتلیوم در حال رشد در دیواره به وجود آمده اند، به صورت ذاتی قابلیت تغییر ماهیت دارند.

البته لازم به ذکر است که این تغییر ماهیت ممکن است در مواردی بسیار نادر، باعث تشکیل تومور از دیواره کیست شود.

 

در موارد کمتری، ممکن است این کیست ها به تومورهای بدخیم، تبدیل شوند. با توجه به این موضوع، درمان الزامیست؛ اما درمان ممکن است به صورت مرحله ای باشد؛ یعنی بار نخست فقط دندان درمان شود. البته در ادامه بررسی ها ممکن است نیاز به جراحی باشد.

به هر حال در صورتی که هر بافتی از بدن در عمل جراحی خارج شود (بیوپسی)، طبق پروتکل به آزمایشگاه پاتولوژی ارسال خواهد شد تا ماهیت آن مورد بررسی قرار گیرد. در آزمایشگاه به طور قطعی مشخص شده که این ضایعه کیست یا چیز دیگری است.

 

عوارض کیست دندان

در موارد کمتری، ممکن است کیست ها به تومورهای بدخیم، تبدیل شوند

  

کیست های دندان چه عوارض دیگری دارند؟

کیست های دندان ممکن است عفونی و دردناک شوند. همچنین می توانند به آبسه تبدیل شده و تورم و برآمدگی در فک ایجاد کنند در این صورت ممکن است بیمار دچار تب و بی حالی شوند. اگر کیست ها درمان نشوند به دلیل وجود حفره های خالی از استخوان در فک، ممکن است استخوان فک را در مقابل ضربه ضعیف کنند.

 

کیست های بزرگی که درمان نشده اند ممکن است به تدریج، باعث عوارضی همچون: پاراستزی (بی حسی)، تحلیل ریشه و لقی دندان ها شوند.

وقتی عبارت کیست را از دندان پزشکان می شنوید اصلا نترسید.

واقعیت این است که دندان پزشکان بیشتر اوقات کلمه کیست را به صورت یک احتمال بیان می کنند! بیشتر اوقات واقعا کیستی وجود ندارد. بیشتر اوقات اگر موارد درمان ریشه (عصب کشی) که درست انجام شود، مشکل از بین می برد و دیگر نیازی به درمان نیست.

 

ترس از کیست دندان

کیست های دندان ممکن است عفونی و دردناک شوند

  

ضایعه ای که مشاهده می شود اکثر اوقات گرانولوم نام دارد و در مرحله اول درمان ماهیت و اسم آن اهمیتی ندارد. به هر صورت طی بررسی های دوره ای که ماه ها یا حتی سال ها بعد شکل می گیرد، اگر دندان پزشک مورد مشکوکی مشاهده کند، بهترین درمان تکمیلی را پیشنهاد می دهد.

 

بهترین متخصص برای تشخیص و درمان کیست دندان

درمان کیست دندان

  

تشخیص و درمان کیست توسط کدام متخصص بهتر صورت می گیرد؟

جراحان فک و صورت، اندودنتیست ها (متخصصین درمان ریشه)، پاتولوژیست فک و صورت و متخصصین تشخیص بیماری های دهان و دندان از گروه های متخصصینی هستند که توانایی شناسایی و درمان کیست ها را دارند. 

 

 

گردآوری:بخش سلامت بیتوته 

 

کالا ها و خدمات منتخب

    تازه ترین مطالب سلامت(بیماری ها، پیشگیری، داروها، تغذیه، پزشکی آنلاین و...)

    سایر مطالب سلامت

      ----------------        سیــاست و اقتصــاد با بیتوتــــه      ------------------

      ----------------        همچنین در بیتوته بخوانید       -----------------------