هامارتوما؛ توموری که سرطان نیست ولی همه را میترساند!
- مجموعه: بیماری ها و راه درمان
هامارتوما چیست؟ تومور بینظم اما بیخطر در بدن
هامارتوما یک تومور غیرسرطانی (خوشخیم) است که از همان سلولهای موجود در بافت اطراف ساخته شده است، اما این سلولها و بافتها به صورت نامنظم و بینظم تومور میکنند. بیشتر هامارتوماها هیچ علامتی ایجاد نمیکنند و جدی نیستند. اگر هامارتوما مشکلی ایجاد کند، معمولاً با جراحی برطرف میشود.
هامارتوما چیست؟
هامارتوما (تلفظ: هَم-آر-تُو-ما) یک تومور شبهتوموری است که میتواند در هر جای بدن ظاهر شود. وقتی مردم کلمه «تومور» را میشنوند، اغلب به سرطان فکر میکنند، اما هامارتوماها سرطان نیستند. آنها فقط ترکیبی از همان سلولها و بافتهایی هستند که به طور طبیعی در آن ناحیه از بدن وجود دارند، اما به صورت نامنظم تومور کردهاند.
هامارتوماها بیشتر بیضرر هستند، اما اگر به اندازه کافی بزرگ شوند که به بافتهای مجاور آسیب برسانند، میتوانند مشکل ایجاد کنند. گاهی اوقات نیز نشانهای از بیماریهای ژنتیکی نادر مرتبط با افزایش خطر سرطان هستند.
پزشک شما مشخص میکند که آیا هامارتومای شما خطرناک است یا خیر. در صورت لزوم، معمولاً با جراحی آن را برمیدارند.
انواع هامارتوما
بسته به محل قرارگیری در بدن، نامهای متفاوتی دارند، از جمله:
• همارتومای پستان
• رابدومیومای قلبی (در قلب)
• پولیپهای هامارتوماتوز (در دستگاه گوارش)
• هامارتومای هیپوتالاموس (در مغز)
• هامارتومای لیپوفیبروماتوز (در اعصاب)
• هامارتومای ریوی (در ریهها)
علائم هامارتوما
بیشتر هامارتوماها هیچ علامتی ندارند، مگر اینکه آنقدر بزرگ شوند که به بافتها یا اندامهای مجاور فشار بیاورند یا آسیب برسانند. در صورت وجود علائم، معمولاً مربوط به ناحیهای از بدن است که هامارتوما در آن قرار دارد.
علل ایجاد هامارتوما
در همه موارد علت دقیق مشخص نیست، اما برخی از آنها با جهشهای ژنتیکی ارثی مرتبط هستند که از یکی از والدین به ارث میرسد.
عوامل خطر
چند سندرم ژنتیکی نادر خطر ابتلا به هامارتوما را افزایش میدهند، از جمله:
• نوروفیبروماتوز نوع ۱ (NF1): هامارتوما اغلب در اعصاب مغز، نخاع و پوست ایجاد میشود.
• سندرم پالیستر-هال (PHS): هامارتوما در هیپوتالاموس مغز (هامارتومای هیپوتالاموس)
• سندرم پوتز-جگرز (PJS): افزایش خطر هامارتوما در مثانه، روده، ریه و معده
• سندرم تومور هامارتومای PTEN (PHTS): هامارتوما در نواحی مختلف مانند پستان، دستگاه گوارش، پوست، تیروئید و رحم
• توبروز اسکلروزیس (اسکلروز توبروز): هامارتوما در اندامهای مختلف از جمله چشم، مغز، قلب، کلیه و پوست
برخی از این سندرمها خطر سرطان را افزایش میدهند، اما این خطر مربوط به خود بیماری ژنتیکی است، نه خود هامارتوما. ممکن است نیاز به غربالگری منظم سرطان داشته باشید.
عوارض هامارتوماها
بیشتر هامارتوماها بیخطر هستند، اما اگر به بافت یا اندامهای مجاور آسیب برسانند، مشکلساز میشوند. مثال:
• هامارتومای هیپوتالاموس میتواند باعث تشنج و تأخیر توموری در کودکان شود.
• رابدومیومای قلبی ممکن است جریان خون قلب را مختل کند.
• در صورت ایجاد مشکل، معمولاً با جراحی برداشته میشود.
تشخیص
هامارتوماها اغلب به طور اتفاقی در تصویربرداری برای مشکل دیگری کشف میشوند. برای تأیید تشخیص ممکن است نیاز به آزمایشهای تصویربرداری زیر باشد:
• سیتی اسکن (CT scan)
• امآرآی (MRI)
• ماموگرافی
• سونوگرافی
• رادیوگرافی (اشعه ایکس)
در صورت شک به سرطان، ممکن است بیوپسی (نمونهبرداری) انجام شود.
درمان هامارتوما
بیشتر افراد نیازی به درمان ندارند، مگر اینکه هامارتوما باعث علائم شود. در این صورت معمولاً با جراحی آن را برمیدارند. اگر جراحی خطرناک باشد (مثلاً نزدیک عصب بینایی یا ساختارهای حیاتی مغز)، ممکن است از روشهای زیر استفاده شود:
• ابلیشن (Ablation) با حرارت شدید
• گاما نایف (GammaKnife®) – نوعی پرتودرمانی بسیار دقیق
پیشآگهی (چشمانداز بیماری)
بیشتر هامارتوماها جدی نیستند. آینده شما بستگی به موارد زیر دارد:
• محل هامارتوما
• وجود یا عدم وجود علائم
• ارتباط آن با یک سندرم ژنتیکی نادر که نیاز به مدیریت مادامالعمر دارد.
آیا هامارتوما میتواند سرطانی شود؟
بسیار نادر است.
خطر سرطان معمولاً مربوط به بیماری ژنتیکی زمینهای است، نه خود هامارتوما.
سوالات متداول
1. هامارتوما خطرناک است یا نه؟
در ۹۹٪ موارد خیر، کاملاً خوشخیم و بیخطر است.
فقط اگر خیلی بزرگ شود یا در جای حساسی (مثل مغز، قلب یا نزدیک عصب) باشد، ممکن است مشکل ایجاد کند.
2. آیا هامارتوما میتواند به سرطان تبدیل شود؟
خود هامارتوما تقریباً هیچوقت سرطانی نمیشود (احتمال کمتر از ۱٪).
اما اگر همراه یکی از سندرمهای ژنتیکی خاص باشد (مثل PHTS یا سندرم پوتز-جگرز)، خطر سرطان در جاهای دیگر بدن بیشتر میشود؛ نه لزوماً همان هامارتوما.
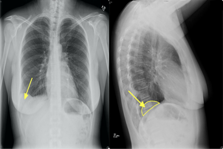
3. هامارتومای ریه چقدر شایع است؟
شایعترین هامارتومای خوشخیم ریه است (حدود ۷۰–۸۰٪ تومورهای خوشخیم ریه).
بیشتر در بزرگسالان ۴۰–۶۰ سال دیده میشود و در مردان شایعتر است.
4. آیا هامارتومای ریه باید عمل شود؟
اگر کوچک باشد و علامتی نداشته باشد → معمولاً فقط پیگیری با سیتی اسکن هر ۶–۱۲ ماه. اگر بزرگتر از ۲.۵ سانتیمتر باشد، در حال تومور باشد یا علائم (سرفه، تنگی نفس) بدهد → جراحی (معمولاً با VATS یا جراحی کمتهاجمی).
5. هامارتومای مغز (هیپوتالاموس) در کودکان چه علائمی دارد؟
خندههای غیرعادی و بدون دلیل
تشنجهای دیگر
بلوغ زودرس
تأخیر توموری یا مشکلات رفتاری
6. آیا هامارتوما ارثی است؟
به تنهایی خیر، اما اگر همراه سندرم ژنتیکی باشد (مثل توبروز اسکلروزیس، NF1، PHTS) بله، ارثی است و باید خانواده هم بررسی ژنتیکی شوند.
7. در ماموگرافی پستان دیده شده، باید نگران باشم؟
هامارتومای پستان معمولاً کاملاً خوشخیم است و به آن (breast within a breast) میگویند چون در تصویربرداری شبیه یک پستان کوچک داخل پستان بزرگ است.
بیشتر موارد فقط پیگیری سالانه کافی است. فقط اگر خیلی بزرگ شود یا تغییر شکل بدهد، جراحی زیبایی یا برداشتن انجام میشود.
8. فرق هامارتوما با آدنوما و لیپوما چیست؟
هامارتوما: ترکیب نامنظم از بافتهای طبیعی همان ناحیه
آدنوما: فقط از یک نوع سلول (معمولاً غددی) و منظمتر
لیپوما: فقط بافت چربی
پیام پایانی
شنیدن اینکه یک تومور غیرعادی (مثل هامارتوما) در تصویربرداری دیده شده، میتواند ترسناک باشد، اما یادتان باشد که همه تومورهای غیرعادی به معنای سرطان نیستند. هامارتوماها معمولاً بیضررند و بیشتر افراد نیازی به جراحی ندارند. اگر هم نیاز باشد، جراحی معمولاً علائم را کاملاً برطرف میکند. اگر این تشخیص را دریافت کردید، حتماً از پزشک خود بپرسید که این موضوع برای سلامتی شما چه معنایی دارد.
گردآوری:بخش سلامت بیتوته















