ناهنجاریهای مادرزادی ریه؛ از جنین تا بزرگسالی
- مجموعه: بیماری ها و راه درمان
ناهنجاریهای مادرزادی ریه؛ از رازهای پنهان رحم تا کشف اتفاقی در بزرگسالی
ناهنجاریهای مادرزادی ریه (Congenital Lung Anomalies - CLA) گروهی از اختلالات نادر در ساختار ریه و مجاری هوایی هستند که در دوران جنینی ایجاد میشوند. این ناهنجاریها ممکن است از بدو تولد علامتدار باشند یا سالها بدون علامت بمانند و بهصورت اتفاقی در بزرگسالی کشف شوند. با پیشرفت تصویربرداری پیش از تولد، تشخیص این بیماریها بهطور چشمگیری افزایش یافته است، اما همچنان چالش تشخیصی و درمانی قابل توجهی دارند.
منشأ جنینی و علل ایجاد
رشد ریه از هفته سوم بارداری آغاز میشود، زمانی که جوانه تنفسی از دیواره شکمی لوله گوارش اولیه (فورگات) جدا شده و به تدریج به ساختارهای پیچیده برونش، برونشیول و آلوئول تبدیل میشود. هرگونه اختلال در این فرآیند، چه ژنتیکی، چه عروقی، چه مکانیکی، میتواند منجر به ناهنجاری شود.
علت دقیق این ناهنجاریها اغلب ناشناخته است. نظریههای متعددی مطرح شدهاند: از جمله اختلال در جوانهزنی برونش، انسداد راه هوایی در حال رشد، نقص در عروقسازی ریوی یا عوامل ژنتیکی پراکنده. هیچیک از این نظریهها بهتنهایی طیف کامل ناهنجاریها را توضیح نمیدهد و اغلب ترکیبی از عوامل دخیل است. برخلاف تصور رایج، این بیماریها معمولاً ارثی نیستند و ارتباط مستقیمی با ژنهای خانوادگی شناختهشده ندارند.
انواع اصلی ناهنجاریهای مادرزادی ریه
طیف این ناهنجاریها گسترده است و بر اساس درگیری برونش، پارانشیم یا عروق طبقهبندی میشوند. شایعترین انواع عبارتند از:
1. ناهنجاری مادرزادی راه هوایی ریوی (CPAM)
قبلاً با نام CCAM شناخته میشد، شایعترین نوع در کودکان است و در بزرگسالان نیز بهطور فزاینده تشخیص داده میشود. این ضایعه از رشد بیش از حد برونشیولهای اولیه بدون غضروف تشکیل شده و بهصورت کیستهای متعدد یا تودههای جامد در یک لوب ظاهر میشود. انواع بزرگتر از ۲ سانتیمتر معمولاً نوع ۱ و کیستهای کوچکتر نوع ۲ هستند. گاهی با سکستراسیون ریوی ترکیب میشود و ضایعه هیبریدی ایجاد میکند.
2. سکستراسیون برونکوپولمونری (BPS)
بخشی از ریه که فاقد ارتباط با درخت برونش است و خونرسانی آن از آئورت سیستمیک تأمین میشود. دو نوع دارد: داخللوبار (درون پارانشیم ریه) و خارجلوبار (جدا از ریه، اغلب در قفسه سینه یا حتی شکم). نوع داخللوبار شایعتر در بزرگسالان است و با عفونتهای مکرر همراه است.
3. کیست برونکوژنیک
کیسهای پر از مایع یا مخاط که از جوانهزنی غیرطبیعی لوله برونش در هفتههای ۶ تا ۱۶ بارداری ایجاد میشود. شایعترین محل آن مدیاستن (بهویژه ناحیه زیرکارینال) است، اما ممکن است داخل پارانشیم ریه نیز دیده شود. در بزرگسالان اغلب بدون علامت است، مگر اینکه عفونی یا بزرگ شود.
4. آترزی برونش
انسداد کامل یک برونش سگمنتال یا لوبار با حفظ راههای هوایی دیستال. شایعترین محل، لوب فوقانی چپ است. در تصویربرداری، برونکوسل (تجمع مخاط در برونش مسدود) همراه با هایپرلوسنسی دیستال (به دلیل به دام افتادن هوا از طریق تهویه جانبی) دیده میشود. اغلب با سایر ناهنجاریها مانند CPAM یا سکستراسیون همراه است.
5. آمفیزم لوبار مادرزادی (CLO)
تورم بیش از حد یک لوب ریه به دلیل مکانیسم شیر یکطرفه در برونش. شایعترین در لوب فوقانی چپ است و در نوزادان با دیسترس تنفسی ظاهر میشود، اما در بزرگسالان ممکن است با عفونت یا پنوموتوراکس علامتدار شود.
6. قطع پروگزیمال شریان ریوی (PIPA)
ناهنجاری عروقی که در آن شریان اصلی ریوی در سطح هیلوم قطع میشود، اما عروق داخلریوی حفظ میشوند. خونرسانی از طریق عروق جانبی سیستمیک (مانند شریانهای برونشیال یا بیندندهای) انجام میشود. اغلب سمت راست است و با هیپوپلازی ریه همراه است.
7. سندرم ریه هیپوژنتیک (Scimitar Syndrome)
ترکیبی از هیپوپلازی ریه راست، تخلیه غیرطبیعی ورید ریوی به ورید اجوف تحتانی (شبیه شمشیر خمیده در رادیوگرافی) و تأمین خون سیستمیک. اغلب با ناهنجاریهای قلبی همراه است.
تظاهرات بالینی
بسیاری از این ناهنجاریها در دوران جنینی با سونوگرافی کشف میشوند. در نوزادان، علائم شامل دیسترس تنفسی، سیانوز، عفونت مکرر یا نارسایی رشد است. در بزرگسالان، کشف اغلب اتفاقی است،مثلاً در سیتی اسکن قفسه سینه برای علل دیگر اما ممکن است با علائمی مانند سرفه مزمن، عفونتهای مکرر، هموپتیزی یا پنوموتوراکس ظاهر شود.
موارد شدید جنینی ممکن است منجر به هیدروپس جنینی شوند (تجمع مایع در چندین اندام) که پیشآگهی بسیار ضعیفی دارد. اما اکثر موارد خفیف هستند و کودک با ریههای سالم کافی متولد میشود.
تشخیص ناهنجاری مادرزادی ریه
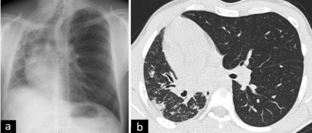
سونوگرافی جنین در هفته ۲۰ بارداری ابزار اصلی غربالگری است. پس از تولد، رادیوگرافی قفسه سینه ممکن است ناهنجاری را نشان دهد، اما سیتی اسکن با کنتراست استاندارد طلایی تشخیص است. این روش جزئیات آناتومیک، تأمین عروقی و ارتباط با درخت برونش را بهخوبی نشان میدهد. امآرآی در موارد پیچیده یا برای ارزیابی محتوای پروتئینی کیستها مفید است. برونکوسکوپی و آنژیوگرافی در موارد خاص کاربرد دارند.
درمان ناهنجاری مادرزادی ریه
جراحی درمان قطعی اکثر این ناهنجاریهاست، اما زمان و نوع آن به شدت علائم و خطر عوارض بستگی دارد.
• در نوزادان علامتدار، جراحی فوری (حتی در چند روز اول زندگی) لازم است. در موارد بدون علامت، رویکرد محافظهکارانه با پیگیری تصویربرداری منظم نیز پذیرفته شده است، بهویژه در بزرگسالان. اما بسیاری از متخصصان جراحی پیشگیرانه را توصیه میکنند به دلیل خطر عفونت مکرر، خونریزی یا به ندرت تبدیل به سرطان (بهویژه در CPAM نوع ۱).
• روشهای جراحی شامل برداشتن لوب (لوبکتومی)، بخش کوچکتر (سگمنتکتومی) یا در موارد نادر کل ریه (پنومونکتومی) است. جراحی کمتهاجم با کمک ویدیو (VATS) در بزرگسالان ترجیح داده میشود.
پیشآگهی
اکثر کودکانی که تحت درمان قرار میگیرند، زندگی طبیعی و سالمی دارند. ریه باقیمانده معمولاً رشد جبرانی دارد و عملکرد طبیعی پیدا میکند. در بزرگسالان، حتی پس از جراحی در سنین بالا، کیفیت زندگی معمولاً عالی است. با این حال، پیگیری طولانیمدت ضروری است، بهویژه در مواردی که جراحی انجام نشده، زیرا خطر عفونت، خونریزی یا تغییرات بدخیم (هرچند نادر) وجود دارد.
سوالات متداول
1. ناهنجاریهای مادرزادی ریه چقدر شایع هستند؟
حدود ۱ در ۳٬۰۰۰ تا ۱۰٬۰۰۰ تولد زنده، بسته به حساسیت اسکنهای پیش از تولد.
2. آیا ناهنجاریهای مادرزادی ریه ارثی هستند؟
خیر، در اکثر موارد ارثی نیستند. عوامل ژنتیکی پراکنده ممکن است دخیل باشند، اما الگوی خانوادگی مشخصی ندارند.
3. آیا این ناهنجاریها میتوانند در بزرگسالی کشف شوند؟
بله، بسیاری از موارد بدون علامت در بزرگسالی و بهصورت اتفاقی (مثلاً در سیتی اسکن قفسه سینه) تشخیص داده میشوند.
4. آیا ناهنجاریهای ریه میتوانند سرطانی شوند؟
بسیار نادر است، اما در برخی انواع (مثل CPAM نوع ۱) خطر کمی برای تبدیل به آدنوکارسینوم یا سارکوم وجود دارد.
5. سونوگرافی جنین چه زمانی ناهنجاری را نشان میدهد؟
معمولاً در هفته ۱۸ تا ۲۲ بارداری، در اسکن آناتومی دقیق.
6. آیا همه ناهنجاریهای ریه نیاز به جراحی دارند؟
خیر. موارد بدون علامت ممکن است فقط با پیگیری تصویربرداری منظم مدیریت شوند.
7. جراحی ریه در نوزادان خطرناک است؟
در مراکز تخصصی با تجربه بالا، جراحی ایمن است و ریه باقیمانده معمولاً رشد جبرانی دارد.
8. آیا کودک پس از برداشتن یک لوب ریه میتواند ورزش کند؟
بله، اکثر کودکان پس از جراحی زندگی فعال و ورزشی عادی دارند.
نکته پایانی
ناهنجاریهای مادرزادی ریه، هرچند نادر و گاهی ترسناک به نظر میرسند، اما با تشخیص زودهنگام و مدیریت مناسب، قابل کنترل و اغلب قابل درمان هستند. پیشرفتهای تصویربرداری و جراحی، چشمانداز این بیماران را بهطور چشمگیری بهبود بخشیده است. همکاری نزدیک بین متخصصان جنینشناسی، رادیولوژیستها، جراحان قفسه سینه و تیم مراقبتهای ویژه نوزادان، کلید موفقیت در مدیریت این بیماریهاست.
گردآوری:بخش سلامت بیتوته

















